Γράφει ο Χ. Εμμανουηλίδης
Ογκολόγος Παθολόγος
(π) Αν. Καθηγητής Παν. Καλιφόρνιας UCLA
Συνεργάτης Ιατρικού Διαβαλκανικού Θεσσαλονίκης
Ο καρκίνος του πνεύμονα είναι ο πιο συχνός καρκίνος στην Ελλάδα. Υπολογίζεται ότι κάθε χρόνο διαγιγνώσκονται περίπου 9000 άνθρωποι με αυτόν τον καρκίνο εκ των οποίων περίπου τα τρία τέταρτα είναι άνδρες. Υπάρχει σαφής συσχέτιση με το κάπνισμα στο οποίο οφείλεται περίπου το 90% των καρκίνων αυτών. Ο καπνός του τσιγάρου δεν περιέχει μόνο νικοτίνη, αλλά χιλιάδες άλλες βλαπτικές ουσίες που αποδεδειγμένα είναι καρκινογόνες. Ας σημειωθεί ότι το κάπνισμα μπορεί να ευθύνεται για πλειάδα άλλων καρκίνων όπως του λάρυγγα, του οισοφάγου, του στομάχου, της ουροδόχου κύστης και άλλων. Ευτυχώς λόγω της αντικαπνιστικής εκστρατείας, ο καρκίνος του πνεύμονα δεν αυξάνεται πια στους άντρες, ίσως μάλιστα και να μειώνεται, αυξάνεται όμως στις γυναίκες. Τα μέλη της οικογένειας καπνιστών που δεν καπνίζουν, εμφανίζουν και αυτά αυξημένο κίνδυνο καρκίνου, εφόσον εισπνέουν τον καπνό. Χρειάζεται επομένως προσοχή, να μην εκθέτει ο καπνιστής άλλα άτομα σε κίνδυνο, κυρίως τα παιδιά.

Χ. Εμμανουηλίδης
Αν σταματήσει κάποιος το κάπνισμα προφυλάσσεται από τον αυξημένο κίνδυνο καρκίνου; Πράγματι, ο κίνδυνος σταδιακά μειώνεται με τον χρόνο, αλλά δεν εξαλείφεται πλήρως, μέχρι να περάσουν 15-20 χρόνια. Άλλος παράγοντας κινδύνου είναι η χρόνια εισπνοή ραδόνιου, ενός ραδιενεργού αέριου που εκλύεται από το έδαφος και συσσωρεύεται στα κατώτερα μέρη κτιρίων, σηράγγων κλπ.
Ο πνεύμονας του μακροχρόνιου καπνιστή συχνά εμφανίζει άλλες βλάβες όπως το εμφύσημα (καταστροφή των κυψελίδων) ή χρόνια βρογχίτιδα και άσθμα που με τον χρόνο περιορίζουν την αναπνευστική λειτουργία. Όπως καταλαβαίνει κανείς, αν αναπτυχθεί καρκίνος στο έδαφος ενός ελαττωματικού πνεύμονα τα πράγματα μπορεί να είναι χειρότερα.
Ο καρκίνος του πνεύμονα ξεκινά ως ένα μικρό ογκίδιο σε κάποιο σημείο των πνευμόνων το οποίο με τον χρόνο αυξάνεται σε μέγεθος. Στην αρχή δεν δίνει κανένα σύμπτωμα, αργότερα όμως μπορεί να προκαλέσει βήχα, ακόμα και αιμόπτυση. Στην συνέχεια τα καρκινικά κύτταρα καταλαμβάνουν τους λεμφαδένες του πνεύμονα και τους μεσοθωρακικούς (που βρίσκονται πίσω από το στέρνο). Σε απώτερο χρόνο εισέρχονται στην κυκλοφορία του αίματος και δημιουργούν καρκινικές «αποικίες», τις λεγόμενες μεταστάσεις σε άλλα όργανα, όπως το ήπαρ (συκώτι), τα οστά, τον εγκέφαλο και άλλα. Σε ενδιάμεσα ή προχωρημένα στάδια ο καρκίνος αυτός είναι ιδιαίτερα επικίνδυνος για την ζωή.
Όσο πιο νωρίς διαγνωσθεί ο καρκίνος του πνεύμονα (όπως και κάθε καρκίνος) τόσο μεγαλύτερη είναι η πιθανότητα για πλήρη ίαση. Αν δηλαδή καταφέρουμε να διαγνώσουμε τον καρκίνο στο στάδιο που είναι ένα μικρό ογκίδιο μέσα στον πνεύμονα, πριν κάνει μεταστάσεις, μπορεί να αφαιρεθεί χειρουργικά και ο άνθρωπος να θεραπευθεί πλήρως.
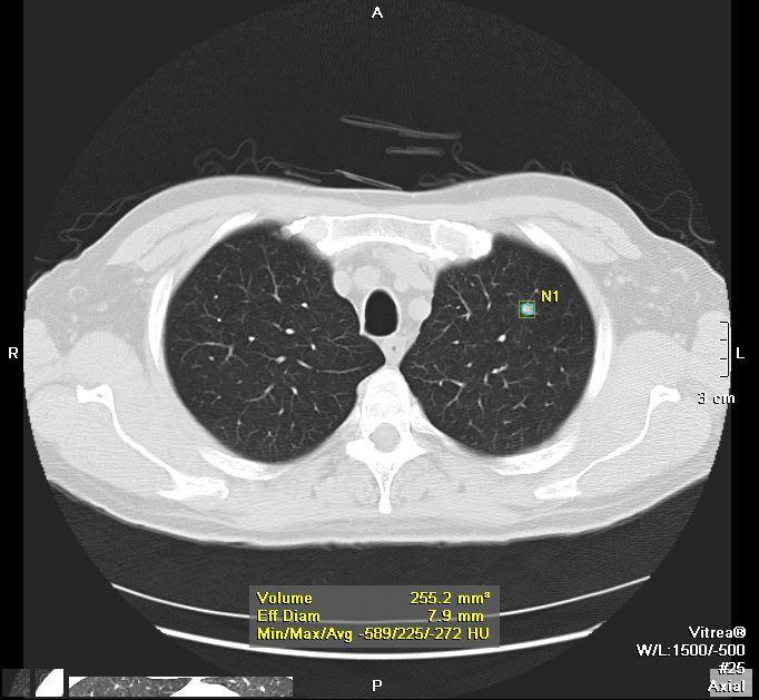
Για τον λόγο αυτό έχει αναπτυχθεί μια τεχνική πρώιμης διάγνωσης του καρκίνου με αξονική τομογραφία θώρακος χαμηλής δόσης. Η αξονική αυτή έχει ειδικά σχεδιαστεί ώστε να χρησιμοποιεί χαμηλή δόση ακτινοβολίας ώστε να μπορεί να δίδεται επαναληπτικά χωρίς επιβάρυνση του οργανισμού (σε αντίθεση με την συνηθισμένη αξονική). Άτομα υψηλού κινδύνου συστήνεται να υποβάλλονται κάθε χρόνο σε αυτήν την απλή εξέταση ώστε, αν τύχει να αναπτύξουν καρκίνο, να διαγνωσθεί έγκαιρα πριν δώσει συμπτώματα.
Ποιοι πρέπει να ενταχθούν σε ένα πρόγραμμα έγκαιρης διάγνωσης; Άτομα ηλικίας 50-80 ετών που καπνίζουν τουλάχιστον για είκοσι χρόνια ή έχουν διακόψει το κάπνισμα έως και 15 χρόνια προηγουμένως. Δηλαδή ακόμα και αν η διακοπή έχει γίνει πριν από π.χ. 5 έτη, πρέπει να γίνεται η αξονική τομογραφία χαμηλής δόσης για 10 χρόνια.
Επομένως, είναι σημαντικό καπνιστές να συνεννοηθούν με τους γιατρούς τους και να τεθούν σε ένα πρόγραμμα έγκαιρης διάγνωσης. Η τεχνική είναι διαθέσιμη στα πιο πολλά ακτινολογικά κέντρα. Είναι πια κρίμα να χάνονται ζωές όταν μια απλή μέθοδος μπορεί να δώσει την λύση. Και φυσικά, η καλύτερη πρόληψη είναι η διακοπή του καπνίσματος.

Αξονική τομογραφία χαμηλής δόσης όπου φαίνεται αρχόμενος καρκίνος μεγέθους 1 εκατοστού. Ο ασθενής θα χειρουργηθεί έγκαιρα και θα ιαθεί.


